Crown lengthening
Clinical crown lengthening is a precise surgical procedure involving removal of excess gum and/or bone to expose a greater tooth surface. Used for both aesthetic and prosthetic indications.
The so-called "gummy smile" — excessive gum exposure when smiling. Surgical recontouring of the gum line restores proportional, harmonious smile aesthetics.
A clinical crown that is too short makes it impossible to properly fabricate a prosthetic crown. Crown lengthening ensures adequate retention and proper biological contour of the restoration.
The procedure is performed under local anaesthesia. Precise removal of excess soft and hard tissue allows for adequate tooth surface exposure while maintaining the biological width of the periodontium.
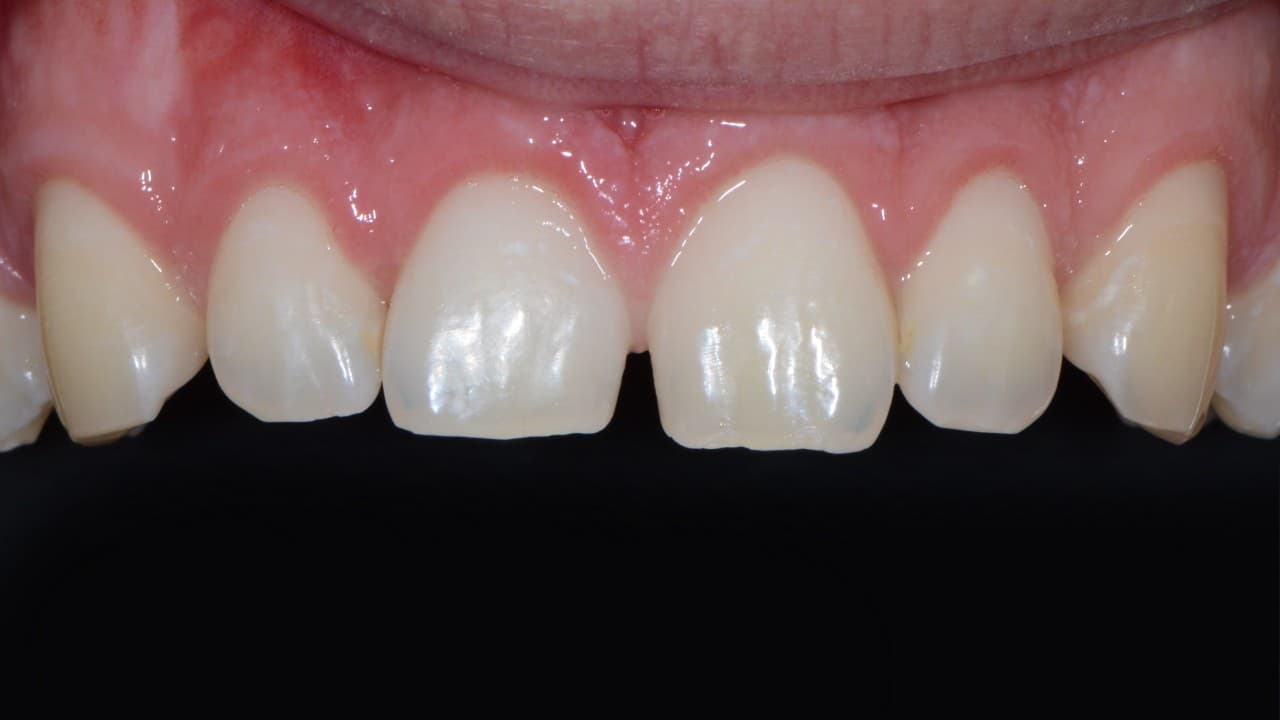
Treatment results
Slide to compare the condition before and after the procedure.


Locations
Patients from the entire Podhale region come to me for consultations, including from towns such as Rabka-Zdrój, Nowy Targ, Jordanów, Poronin, and Zakopane.
First step
Healthy gums are the foundation of a healthy body. Book a consultation and take care of your periodontal health.