Recesión gingival
La recesión gingival es el retroceso del margen de la encía, que expone el cuello o la raíz del diente. Causa sensibilidad, deterioro estético y mayor riesgo de caries radicular.
Las causas más comunes son una técnica de cepillado incorrecta, biotipo gingival fino, periodontitis, malposición dental y apretamiento o rechinamiento habitual de los dientes (bruxismo).
El estándar de oro para el tratamiento de la recesión es el injerto de tejido conectivo obtenido del paladar. Las técnicas de túnel y sobre permiten una invasividad mínima y una cobertura óptima de las raíces expuestas.
Las técnicas microquirúrgicas modernas permiten la cobertura de las raíces expuestas en el 80-100% de los casos. Restaurar la línea gingival adecuada elimina la sensibilidad, mejora la estética y protege los dientes de una mayor destrucción.
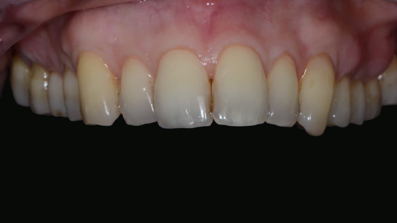
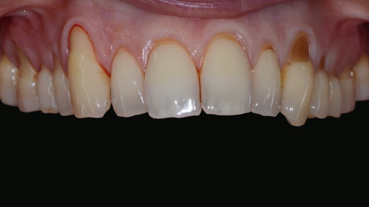
Resultados del tratamiento
Deslice para comparar el estado antes y después del procedimiento.


Ubicaciones
Recibo pacientes de toda la región de Podhale para consultas, incluyendo localidades como Rabka-Zdrój, Nowy Targ, Jordanów, Poronin y Zakopane.
Primer paso
Unas encías sanas son la base de un organismo sano. Pida una consulta y cuide su salud periodontal.